• Welkom bij Salty Sand’s
  • Nieuws
  • Fokkersgedachten
  • Nestplanning
    • Nestplanning voor 2022
    • Nesten
      • Salty Sand’s D-nest voorjaar 2017
  • Over het ras
  • Wandelingen
  • Uitstapjes en vakanties
  • Fotogalerij
  • Gratis socialisatiegids voor fokkers
  • Windhonden keramiek

SALTY SAND'S WHIPPETS

~ Whippets sinds 2000

SALTY SAND'S WHIPPETS

Maandelijks Archief: november 2014

Afbeelding

4ever 2gether

28 vrijdag nov 2014

IMG_2712

Jewel +26-02-2014 en Chloe +14-10-2014

Het was verdrietig om in nog geen 8 maanden tijd Jewel en Chloe te verliezen. Ik wilde hun as graag samen brengen. Marianne heeft daarom op Jewel’s urn een nieuwe deksel gemaakt…… moeder en dochter zijn nu opnieuw samen.

IMG_2715

Chloe steunend op Jewel.

IMG_2721

Nog even een foto van Jewel’s urn, van voor Chloe’s overlijden.

IMG_2725

Aan de achterkant een nis, voor een bijzonder stukje kristel dat Jewel is geschonken.

unnamed

Een foto van de urn voor Toto, van Natasja en Danny.

Marianne vindt het een uitdaging om je hond zo goed mogelijk te personaliseren. Heb je interesse in zo’n uniek en toch heel betaalbaar stukje handwerk? Neem dan gerust contact met haar op: marianne.j.booij@gmail.com.

Geplaatst door Monique | Filed under Windhonden keramiek

≈ 8 reacties

Afbeelding

Alles weer bijna bij het oude…..

25 dinsdag nov 2014

foto

Langzaam maar zeker lukt het weer om een sociaal leven te hebben. Hinde en Hazel kunnen nu gemakkelijk een aantal uren thuis blijven. Ook wel weer lekker, moet ik zeggen! Weer plezier maken met familie en vrienden….

IMG_2480

Ik heb een nieuw vriendje…. hij heet Kees, hij komt van Rhodos, net als mijn vroegere hondje Rhody, en begeleidt zijn baasje Yvonne Kroonenberg overal naar toe.

IMG_2484

Het Mantelzorgcentrum waar ik stage loop organiseerde vorige week de Dag van de Mantelzorg. Yvonne Kroonenberg heeft een boek volgeschreven over mantelzorgers en kwam bij ons in Schagen een keiharde en toch heel gevoelige lezing geven. We hebben genoten! We zaten gezellig naast elkaar tijdens het avondeten (want jullie houden toch allebei van honden en paarden ;>))). Tijdens de pauze werd een signeersessie gehouden en ondertussen heb ik samen met Kees het centrum van Schagen onveilig gemaakt. Kees heeft daar op zijn eigen manier de hondenkrant gesigneerd ;>))

IMG_2651

Een leuke herinnering in een lekker boek!

IMG_2638

Zondag waren mijn mam en ik bij Marc en Annalies gaan lunchen, die op de hondjes van Wim pasten. Hinde ligt hier gezellig op de bank bij Jansje.

IMG_2637

Chloe’s nestzus Julia lag daar vreselijk op Chloe te lijken. Ik ken Juultje al haar hele leven, en dus begroet ze mij net zo lief als dat mijn Chloe het altijd deed. Julia lijkt sprekend op Chloe en dat lijfje voelt precies hetzelfde aan, de zachte vacht, de rondingen…. Heel eventjes had ik Chloe weer in mijn armen, en mijn neus in haar vacht……. heerlijk.

IMG_2646

Julia en Gemma, de twee oudjes van Wim.

IMG_2453

Hier nog een oudje dat het best nog goed doet; ik had Isis van mijn broer Ronald een dagje te gast. Ze is inmiddels ook allang de 14 voorbij, helemaal blind maar wel nog goed ter been. Stop haar in een cave XL en je hebt er de hele dag geen hondje meer aan ;>)).

IMG_2501

Ook vorige week, heel even een ontmoeting met Rosanna, het baasje van Hinde’s broer Ryan, en Romeo, Remy en “onze” Spanjaard Siro. Op de foto Remy en Hinde.

IMG_2533

Regelmatig zie ik Marianne en Arend voor een lekkere wandeling. Arend heeft zichzelf namelijk een missie gegeven: Hazel’s tong op de grond krijgen en daarin slaagt hij altijd met behulp van de ballenwerper. Ondertussen steekt Hinde dan haar neus in alle holletjes. Zo komen ze allebei toch een beetje aan hun trekken.

IMG_2614

Hinde loopt ondertussen alweer 20-25 minuten achter elkaar. Wel met pauzes om te snuffelen en uit te rusten. We bouwen dit op met iedere week 5 minuten erbij. Ik hoop dat ze mee zal kunnen lopen op de windhondenwandeling in Soestduinen, op 4 januari, dat is mijn streven.

IMG_2617

Ik schreef het van de week ook al op Facebook; wanneer ik de kontjes van Hinde en Hazel voor me uit zie gaan, voel ik me een bevoorrecht mens. Hinde had immers maar 40% kans om weer te lopen, en nu, 9 weken na de operatie is het resultaat super, en het wordt nog altijd beter. Het is een wonder, schrijven veel mensen, en een aantal van hen, waaronder mijn dierenarts in Den Helder, gaven toe dat zij er twee maanden geleden een erg hard hoofd in hadden dat het nog goed zou komen met Hinde….

IMG_2615

Ze doet weer alles zelf, dat was de laagste lat die ik had gelegd: dat ze zich gewoon uit de voeten kon maken, zelf weer eten, drinken en behoeftes doen. De knokkels van haar achtertenen gaan ondertussen niet meer stuk tijdens het lopen, dus de stand van haar voeten verbetert nog steeds. Wel slijten de nagels van haar achterpoten nog altijd te snel af tijdens het lopen op verharde grond. Maar daar hebben we iets op gevonden:

nagelcaps_blauw-566x566

Nagelcaps zijn eenvoudig aan te brengen flexibele caps gemaakt van non-toxic pvc, die over de nagels van kat of hond kunnen worden geplaatst. Op deze manier kan worden voorkomen dat de kat of hond zijn, haar of iemands huid krabt met wonden en mogelijke infecties tot gevolg. Ik heb transparante kapjes besteld – want anders vallen we zo op – en ben heel benieuwd. Ze zijn nog niet binnen, dus tot die tijd wandelen we alleen nog op gras en op zand.

Om Hinde’s coördinatie en kracht te trainen laat ik haar veel klimmen en dalen, tegen de zeedijk op, maar ook in de duinen. Ik heb een paar filmpjes van de afgelopen weken.

Soms loop ik te kantklossen met twee whippets, en Hazel heeft energie te over, kijk maar:

En vrolijk is Hinde ook. Honden zijn gelukkig niet zo bezig met wat ze niet kunnen.

IMG_2629

Ondertussen loopt Hinde alweer veel beter dan ze op deze filmpjes doet. Hinde’s voorpoten en achterpoten bewogen niet gecoordineerd; voor krabbelde ze zo snel mogelijk, en achter ook. Ze kwam snel vooruit, maar het zag er voor een gangwerkfreak als ik ben niet zo fijn uit. Nou, ondertussen zie ik dat ze steeds beter gangwerk krijgt, dus het komt waarschijnlijk wel goed! Volgens de fysiotherapeute is de coordinatie ook het allerlaatste dat komt na een verlamdheid.

IMG_2635

Een dingetje gaat nog niet helemaal goed….. vlak na een goede wandeling vind je dan zo maar een cadeautje in de keuken. Of soms gaat Hinde plotseling zitten persen in de woonkamer. En dan prijs ik haar maar helemaal de hemel in, want ik wil niet dat ze zich bezwaard voelt.  Als dit zo blijft…. jammer dan. Na alles wat we hebben doorgemaakt raap ik deze drollen met heel veel liefde op ;>))

Geplaatst door Monique | Filed under Nieuws

≈ 17 reacties

Afbeelding

Dierbaar keramiek

15 zaterdag nov 2014

IMG_2541

Het is inmiddels een maand geleden dat mijn lieve Chloe is overleden. Marianne verraste mij vandaag met een keramiek van haar, liggend op een rood hart. In het witte hartje staat haar naam, en links en rechtsonder haar geboorte- en overlijdensdatum.

Hazel en Hinde hebben het keramiekje uitgebreid geinspecteerd. Het is dan ook niet een doorsnee beeldje….. in de klei is namelijk een beetje as van Chloe verwerkt. En dat maakt dit tot een bijzonder, dierbaar stukje keramiek.

IMG_0271

Alsof Chloe weer een heel klein beetje tot leven is gekomen….. ik ben er heel blij mee.

unnamed

Marianne heeft zich ondertussen toegelegd op gepersonaliseerde beeldjes van windhonden; zij kan de exacte aftekening van een individuele hond aanbrengen op haar beeldjes. Desgewenst kan er ook as in de klei worden verwerkt.

In de komende tijd zullen we meer foto’s plaatsen van het werk van Marianne.

Heb je interesse in zo’n uniek en toch heel betaalbaar stukje handwerk? Neem dan gerust contact op met Marianne: marianne.j.booij@gmail.com.

Geplaatst door Monique | Filed under Windhonden keramiek

≈ 11 reacties

Hinde’s nacontrole in Amsterdam

08 zaterdag nov 2014

Posted by Monique in Nieuws

≈ 17 reacties

IMG_2420

Hinde maakt nog altijd gestage vorderingen. Ze rust veel, dan weer op de bank, dan weer in haar cave bed.

IMG_2415

De nachten verlopen prima, ik heb de babyfoon nog aan, maar Hinde hoeft er ’s nachts niet meer tussentijds uit om te plassen. Wel maakt Hazel me af en toe wakker met gepiep, wanneer Hinde ergens een drol heeft laten rollen, dan vindt Hazel het nodig om mij te vragen het ding snel te verwijderen ;>)

IMG_2432

Hinde heeft ongeveer iedere acht uur ontlasting. Het kan zijn dat het eruit rolt als ze ligt te slapen. Soms komt het als ze staat, in huis of buiten. Dan gaat ze er netjes op persen, en ik prijs haar dan maar, ook als het midden in de woonkamer gebeurt ;>). Soms “haal” ik het zelf op, door met een flexibele rubberen oorspuit lauw water naar binnen te spuiten. Dan weet ik in ieder geval dat het in de tuin landt. Maar ik wil natuurlijk het liefst de natuur zijn loop laten. Volgens de orthopeden in Amsterdam is het mogelijk dat dit niet meer verbetert. Dan is het een kwestie van goed voedsel geven, dat mooie harde drollen geeft. Nou dat gebeurt bij Hinde wel, omdat zij rauw vlees eet waarin gemalen botten zitten.

IMG_2422

Een ander probleempje waar ze letterlijk tegenaan loopt is de slijtage van haar tenen en nagels. Ze sleept nog vaak met haar achtervoeten, waardoor ze soms haar knokkels openhaalt en haar binnenste twee nagels afslijt tot op het leven. Die boventenen blijven nu steeds beter heel, omdat haar voeten steeds minder vaak dubbelklappen. De nagels proberen wij te sparen door zo veel mogelijk in gras en op zand te lopen. Als dit een euvel blijft, dan krijgt ze schoentjes aan, of ballonnetjes om.

IMG_2389

Hinde draagt sinds een paar weken een tuigje, omdat zij ook wat last van haar nek heeft, en ik daar niet teveel aan wil sjorren. Ze is weer volop uit op avontuur, ze wil overal lekker snuffelen en duikt als ze de kans krijgt holen in;

IMG_2395

En zou zo graag weer achter een balletje aan willen rennen. Dat mag nog niet, voor deze foto had ik een balletje naar haar toe gerold, maar ook dat soort acties moet nog een week of zes uitblijven, omdat haar rug nog steeds een beetje kwetsbaar is.

IMG_2378

Hazel wordt dus in haar eentje vermaakt met de ballenwerper, maar wat mist ze haar moeder, om samen mee te rennen. Ze probeert Hinde soms uit te lokken, en die wil wel, dus om dat te voorkomen blijft Hinde nu aan de uitloopriem. Ik merk ook duidelijk dat Hinde zich kwetsbaar voelt tegenover andere honden; ze blijft dan heel dicht bij me lopen.

IMG_2426

Op Hinde’s rug zit nog steeds een gekke bult. Woensdag tijdens de nacontrole in Amsterdam bleek waar dat door komt.

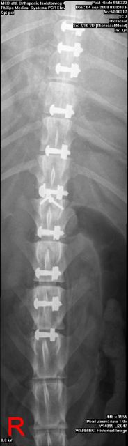
Post Hinde_Se2_Im001CD

Dit is een foto van de ruggengraat, van boven gezien. Je ziet hier duidelijk de tien schroeven zitten, die de kunststof platen langs haar ruggengraat vasthouden. Ik heb er niet naar gevraagd in Amsterdam, maar links boven vind ik de aanzet van de ribben wat rommelig, volgens mij is daar door de aanrijding van alles beschadigd geraakt. De linkerrib ter hoogte van de tweede schroef is duidelijk gebroken. Het verklaart waarom haar ribben aan de linkerkant heel wijd uit stonden en zij de eerste vier weken echt niet op haar linkerzijde wilde liggen.

Post Hinde_Se4_Im001

Deze foto is direct na de operatie genomen. Links is haar voorkant, rechts haar achterkant. Je ziet onder de zesde schroef nog twee schroefjes zitten, die gebruikt zijn om de wervel die van zijn plek was geschoven op zijn plek te zetten. Met opzet is de afstand tussen die twee wervels groter gemaakt dan gemiddeld.

Post Hinde_Se2_Im001A

Op de controlefoto die afgelopen woensdag is gemaakt, zie je dat die afstand is verdwenen; de wervels zitten opnieuw tegen elkaar aan, maar gelukkig is de gerepareerde wervel niet opnieuw gekanteld naar opzij. Deze twee wervels moeten nu maar samengroeien, dan komt er op die manier stevigheid aan. En onder de drie meest linkse schroeven zie je dat de uitsteeksels waar ze aan waren bevestigd, zijn afgebroken. En dus zitten de platen vooraan niet meer vast. Dat veroorzaakt de bult die we op haar rug zien….. hier is niets aan te doen; er zijn meer honden die de platen een beetje los in hun rug hebben zitten; de functie van de platen is alleen de eerste maanden aanwezig. Verwijderen wordt doorgaans niet gedaan, behalve wanneer ze echt pijn en ongemak veroorzaken. Hoe dat met Hinde zal gaan, moeten we gewoon afwachten.

IMG_2418

Al met al mogen we heel gelukkig zijn, dat Hinde tot de 40-50% van de honden met gebroken rug behoort, die weer zijn gaan lopen. Dick en Roelof, de orthopeden van het MCD zijn daarover meer dan tevreden en legden nog eens uit dat dat niet voor al hun patiënten is weggelegd. Helemaal een verrassing was het trouwens niet, dat Hinde lopend binnen kwam, want zij bleken mijn blog te hebben gevonden en gevolgd, in de afgelopen weken. Zij hebben voor het archief de filmpjes opgevraagd waarop de vorderingen van het lopen van Hinde zijn te zien. Ze schijnt echt al heel goed te lopen binnen deze korte tijd. Hoe goed het uiteindelijk wordt, is niet te voorspellen; sommige honden blijven op dit niveau lopen, anderen gaan weer lopen zoals vanouds. Dat is dus nog helemaal afwachten. Wij mogen de wandelingen de komende zes weken iedere week met vijf minuten verlengen, tot we op veertig minuten zitten.

foto-14

En nu nog even iets heel anders; de Engelse whippetkalender is weer uit.

foto-5

Molly McConkey, die de kalender sinds jaar en dag maakt, vraagt ons ieder jaar om wat foto’s. Het is altijd afwachten welke ze gebruikt; maar ook dit jaar is een aantal van onze foto’s en die van Tinne en Marc opgenomen in de kalender. Bijzonder blij ben ik met de maand april: linksboven Hinde, rechtsboven haar zoon Bidai, rechtsonder haar moeder Jewel en linksonder Bodhi uit Megan’s nest. En er zijn meer van onze foto’s te vinden in de andere maanden. Is toch wel heel leuk om te weten dat de Sandjes en de Moon Orchidjes jaarlijks op het toilet hangen bij honderden Engelsen ;>)).

← Oudere berichten

Salty Sands

Aprille en Megan
Aprille en Megan
Jewel en Chloe
Jewel en Chloe
Hinde
Hinde
Hazel
Hazel
Hazel 7 weken
Hazel 7 weken
Bidai 7 weken
Bidai 7 weken
Hazel en Hinde
Hazel en Hinde
3 generaties
3 generaties
Hinde
Hinde
P1030429
Aprille
Aprille
Zoe
Zoe
Mozart
Mozart
Dune
Dune
Bidai
Bidai
Storm
Storm
Hazel
Hazel
Storm
Storm
Storm
Storm
Hinde
Hinde
Hinde en Hazel
Hinde en Hazel
Hazel
Hazel
Hinde
Hinde
Raguel
Raguel
A-nest 2008
A-nest 2008
Hazel
Hazel
Hazel
Hazel
Bidai
Bidai
Tiba
Tiba
Bodhi
Bodhi
3 generaties
3 generaties
Bidai
Bidai
Maestro
Maestro
Jadore
Jadore
Aiko
Aiko
Bidai
Bidai
Megan en Aprille
Megan en Aprille
Dune
Dune
Fenja
Fenja
Hazel en Fenja
Hazel en Fenja
Hazel
Hazel
3 generaties
3 generaties
Jewel en Chloe
Jewel en Chloe
Hinde
Hinde
4 generaties
4 generaties
Chloe
Chloe
Hinde
Hinde
Hinde
Hinde
Dune
Dune
Ryan
Ryan
Hinde
Hinde
3 generaties
3 generaties

Recente reacties

Marij's avatarMarij op Mijn mam….
Tinne's avatarTinne op Mijn mam….
Gabriela's avatarGabriela op Mijn mam….
Martine Simoens's avatarMartine Simoens op Mijn mam….
Susan Grimmelikhuijsen's avatarSusan Grimmelikhuijs… op Mijn mam….
HenkLyd Alisun's avatarHenkLyd Alisun op Mijn mam….

Enter your email address to follow this blog and receive notifications of new posts by email.

Voeg je bij 123 andere abonnees

Archieven

  • juni 2025 (1)
  • november 2023 (1)
  • mei 2023 (1)
  • januari 2023 (1)
  • november 2022 (1)
  • oktober 2022 (1)
  • september 2022 (4)
  • juli 2022 (1)
  • november 2021 (2)
  • april 2021 (4)
  • maart 2021 (5)
  • februari 2021 (2)
  • januari 2021 (1)
  • november 2019 (1)
  • september 2019 (1)
  • juli 2019 (1)
  • april 2019 (1)
  • januari 2019 (1)
  • september 2018 (1)
  • juni 2018 (1)
  • maart 2018 (1)
  • december 2017 (1)
  • oktober 2017 (1)
  • augustus 2017 (3)
  • juli 2017 (4)
  • juni 2017 (7)
  • mei 2017 (1)
  • april 2017 (2)
  • februari 2017 (1)
  • december 2016 (1)
  • november 2016 (1)
  • oktober 2016 (2)
  • september 2016 (1)
  • augustus 2016 (1)
  • juni 2016 (1)
  • mei 2016 (1)
  • maart 2016 (2)
  • februari 2016 (1)
  • januari 2016 (1)
  • december 2015 (1)
  • november 2015 (2)
  • oktober 2015 (2)
  • september 2015 (2)
  • augustus 2015 (2)
  • juli 2015 (2)
  • juni 2015 (1)
  • mei 2015 (2)
  • april 2015 (3)
  • maart 2015 (1)
  • februari 2015 (2)
  • januari 2015 (1)
  • december 2014 (4)
  • november 2014 (5)
  • oktober 2014 (7)
  • september 2014 (5)
  • augustus 2014 (4)
  • juli 2014 (7)
  • juni 2014 (5)
  • mei 2014 (15)
  • april 2014 (11)
  • maart 2014 (10)
  • februari 2014 (9)
  • januari 2014 (6)
  • december 2013 (8)
  • november 2013 (8)
  • oktober 2013 (5)
  • september 2013 (6)
  • augustus 2013 (1)
  • juli 2013 (6)
  • juni 2013 (6)
  • mei 2013 (10)
  • april 2013 (4)
  • maart 2013 (5)
  • februari 2013 (4)
  • januari 2013 (6)
  • december 2012 (8)
  • november 2012 (5)
  • oktober 2012 (7)
  • september 2012 (9)
  • augustus 2012 (12)
  • juli 2012 (8)
  • juni 2012 (17)
  • mei 2012 (16)
  • april 2012 (10)
  • maart 2012 (14)
  • februari 2012 (17)
  • januari 2012 (17)
  • december 2011 (14)
  • november 2011 (11)
  • oktober 2011 (19)
  • september 2011 (1)
november 2014
M D W D V Z Z
 12
3456789
10111213141516
17181920212223
24252627282930
« okt   dec »

Blog Stats

  • 333.418 hits

Blog op WordPress.com.

  • Abonneren Geabonneerd
    • SALTY SAND'S WHIPPETS
    • Voeg je bij 123 andere abonnees
    • Heb je al een WordPress.com-account? Nu inloggen.
    • SALTY SAND'S WHIPPETS
    • Abonneren Geabonneerd
    • Aanmelden
    • Inloggen
    • Deze inhoud rapporteren
    • Site in de Reader weergeven
    • Beheer abonnementen
    • Deze balk inklappen
 

Reacties laden....