Vanavond hebben we de echo gedaan, en dit is de uitslag waar we op gehoopt hadden ;>
Ik dacht het al te hebben gezien in de afgelopen dagen….. aan deze typische manier van liggen;
En aan de minder opgetrokken buikbelijning, inclusief de iets meer prominente tepeltjes. Vandaag is de 32e dag, gerekend vanaf de eerste dekking.
Ik had de afspraak gemaakt in Schagen; daar was ik drie en een half jaar geleden ook met Jewel geweest, en dat was een prettige ervaring. Als Hinde iets niet wil, dan blijft ze zich hardnekkig verzetten, dus om onnodige stress te voorkomen heb ik vantevoren gevraagd of de echo staand kon worden gemaakt. Dit was voor deze dierenarts een nieuwe ervaring; zij was ook erg benieuwd of het op deze manier kan werken.
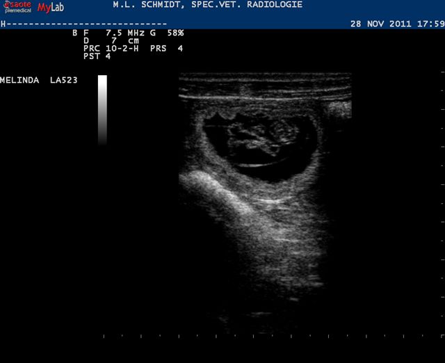
Op deze flipperkast was het vervolgens allemaal prima te zien. “Het zijn er veel” was de eerste opmerking van Chantal de dierenarts. “Tja, wat is veel?” was mijn wedervraag. De schatting bleef steken bij 6 tot 7; dat is eigenlijk precies de gemiddelde nestgrootte van een whippet. Uiteindelijk blijft het een verrassing; er kunnen nog vruchtjes afsterven in de komende tijd, maar er kunnen er vandaag ook nog wel ongezien zijn gebleven.
Ik vond wel, dat de kwaliteit van de echo iets minder was dan destijds met Jewel; het komt waarschijnlijk doordat er omhoog geduwd moet worden met de sensor. De automatische reactie van Hinde was om haar rug omhoog te trekken, die moesten we dus wat omlaag duwen, al met al denk ik dat het contact daardoor iets minder goed zal zijn geweest.
Maar goed, de frutseltjes waren toch wel goed te onderscheiden. De afmeting van de vruchtblaas waar ze inzitten werd ook nog gemeten: 3,3 centimer; de maat van een walnoot ongeveer.
Marianne, bedankt voor de foto’s en jouw support op deze toch feestelijke avond!
Hinde is nu op de helft; in de komende vier en halve week zal zij snel in omvang toenemen en een paar kilo aankomen.
Het zal de komende tijd interessant zijn om Hinde’s dracht te vergelijken met die van haar moeder Jewel; de bovenstaande foto van Jewel werd precies vijf weken na de dekking genomen en ze heeft meer buik dan Hinde op dit moment heeft. Hinde’s dracht lijkt meer op die van haar oma Chloe, vind ik op dit moment.
Vier weken later kwamen Hinde en haar vijf nestzusters en één nestbroer ter wereld. Op deze foto is Hinde tussen de twee en drie weken oud…… en als ik dit fotootje bekijk, heb ik er weer zo ontzettend zin in ;>)
Ronald, je mag nu wel gaan starten met het fabriceren van de werpkist…… anders wordt het een kartonnen doos, waar veel Engelse fokkers bij zweren heb ik het afgelopen weekend ontdekt ;>)





























